support:13376277882 | tech@naturebios.com

Histone H2B Rabbit mAb [Ht9U]Cat NO.: A63922

Western blot(SDS PAGE) analysis of extracts from A431 cell lysate.Using Histone H2B Rabbit mAb [Ht9U]at dilution of 1:1000 incubated at 4℃ over night.

  • SizePriceIn stock
  • 50ul1280咨询客服
  • 100ul2380咨询客服
Order Datasheet

Product information

Protein names :Histone H2B type 1-H; Histone H2B.j; H2B/j; HIST1H2BH; H2BFJ;

UniProtID :O60814

MASS(da) :13,890

MW(kDa) :14kDa

Form :Liquid

Purification :Affinity-chromatography

Host :Rabbit

Isotype : IgG

sensitivity :Endogenous

Reactivity :Human,Mouse,Rat

  • ApplicationDilution
  • 免疫印迹(WB)1:1000-2000
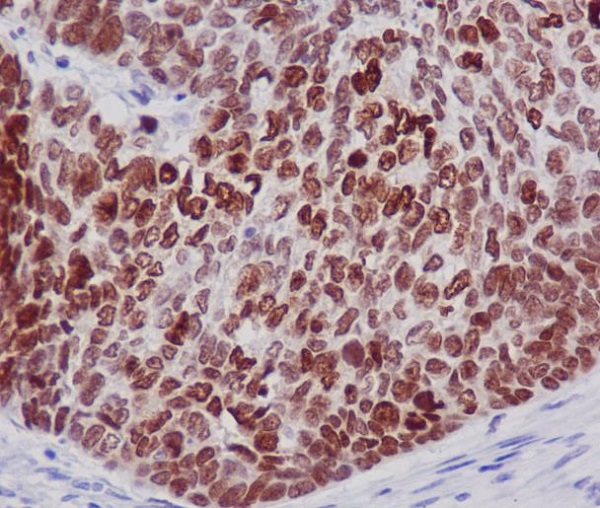
  • 免疫组化(IHC)1:100
  • 免疫荧光(ICC/IF)1:100
  • The optimal dilutions should be determined by the end user

Specificity :Antibody is produced by immunizing animals with A synthesized peptide derived from human Histone H2B

Storage :Antibody store in 10 mM PBS, 0.5mg/ml BSA, 50% glycerol. Shipped at 4°C. Store at-20°C or -80°C. Products are valid for one natural year of receipt.Avoid repeated freeze / thaw cycles.

WB Positive detected :A431 cell lysate.

Function : Core component of nucleosome. Nucleosomes wrap and compact DNA into chromatin, limiting DNA accessibility to the cellular machineries which require DNA as a template. Histones thereby play a central role in transcription regulation, DNA repair, DNA replication and chromosomal stability. DNA accessibility is regulated via a complex set of post-translational modifications of histones, also called histone code, and nucleosome remodeling., Has broad antibacterial activity. May contribute to the formation of the functional antimicrobial barrier of the colonic epithelium, and to the bactericidal activity of amniotic fluid.

Subcellular locationi :Nucleus. Chromosome.

IMPORTANT: For western blots, incubate membrane with diluted primary antibody in 1% w/v BSA, 1X TBST at 4°C overnight.